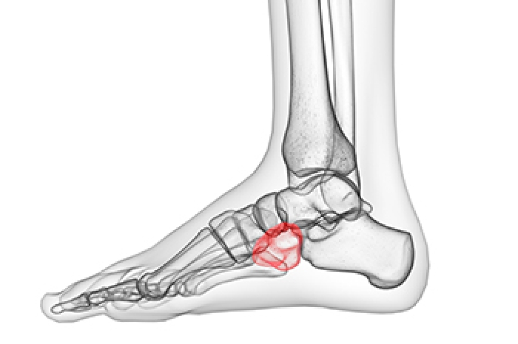
What Is Cuboid Syndrome?

Cuboid syndrome is generally caused by an injury to the joint and ligaments surrounding the cuboid bone in the middle of the foot. This occurs when the cuboid bone moves down and out of alignment with the other (calcaneus) bone in the same joint. Cuboid syndrome is also known as cuboid subluxation, meaning one of the bones in a joint has moved, but not fully out of place. Symptoms often include pain on the outside of the foot that worsens when bearing weight, difficulty walking, swelling, a reduced range of motion in the foot and ankle, and sensitivity on the bottom of the foot. Cuboid syndrome usually results from overuse or injury. It tends to be common among athletes and dancers, although it can affect anyone. If you are experiencing any symptoms of cuboid syndrome it is suggested that you visit a chiropodist for a proper diagnosis. 

Cuboid syndrome, also known as cuboid subluxation, occurs when the joint and ligaments surrounding the cuboid bone in the foot become injured. If you think that you may have cuboid syndrome, please consult with one of our chiropodists from West Toronto Foot & Ankle Clinic Inc. . Our chiropodist will assess your condition and provide you with quality foot and ankle treatment. 

Causes

The cuboid bone is one of the seven tarsal bones located in the foot. Cuboid syndrome develops when the cuboid bone moves down and out of alignment with the other bone (calcaneus bone) in the joint of the foot. Cuboid syndrome can be the result of a sudden injury like an ankle sprain, or it may develop slowly over time from repetitive tension through the bone and surrounding structures. 

Symptoms

The most common symptom of cuboid syndrome is pain on the outside of the foot which may worsen with activity. 

Other possible symptoms include: 

  • Difficulty bearing weight on the affected foot
  • Swelling
  • Sensitivity on the bottom of the foot
  • Reduced range of motion  

Diagnosis

A chiropodist can diagnose cuboid syndrome based on your medical history and a physical examination of the foot. Imaging studies, such as X-rays or MRIs, often fail to show the dislocated cuboid. 

Treatment

Treatment often includes resting, icing, compressing and elevating the affected foot, taping, wearing orthotic inserts, and taking anti-inflammatory medications to reduce pain. The chiropodist may also be able to manipulate the dislocated bone back into alignment.

If you have any questions please feel free to contact our office located in Toronto, ON

Read more about Cuboid Syndrome

Connect With Us